دانش شما، مرز میان زندگی و مرگ؛
با جدیدترین آموزههای پزشکی، برای نجات زندگی آماده شوید.
همین امروز یادگیری را آغاز کنید…
حامیان و همکاران ما





محصولات آموزشی

یادگیری جامع و سریع مفاهیم،
با سامانه آنلاین فلشکارت، هر مبحثی رو قورت بده! 🚀
با سامانه آنلاین فلشکارت، هر مبحثی رو قورت بده! 🚀
ابزار هوشمند شما برای یادگیری موثر! 🏆
با سامانه فلشکارت هوشمند ما، دیگر نگران حجم زیاد مطالب نباشید و مفاهیم را به صورت سریع، عمیق و ماندگار به حافظه بسپارید.
💡 چرا سامانه فلشکارت ما بهترین انتخاب شماست؟
✅ پوشش کامل دروس: به هزاران فلشکارت آماده در رشتههای مختلف دسترسی داشته باشید یا فلشکارتهای خودتان را بسازید.
✅ مرور علمی و هوشمند: الگوریتم تکرار فاصلهدار (Spaced Repetition) به شما کمک میکند تا مطالب را درست در زمانی که نزدیک به فراموشی است، مرور کنید.
✅ تمرکز بر مفاهیم کلیدی: نکات مهم و امتحانی هر درس را به صورت فشرده و کاربردی بیاموزید.
✅ دسترسی در هر زمان و مکان: از طریق موبایل، تبلت یا کامپیوتر به راحتی مطالعه و مرور کنید.

اطلس آناتومی تعاملی،
انقلابی در آموزش آناتومی و رادیولوژی
انقلابی در آموزش آناتومی و رادیولوژی
با آناتومی به شکلی دیگر آشنا شوید! 🤔
خداحافظی با تصاویر ثابت و بیروح کتابها! 👋📚
تیم نوآور دانشگاه علوم پزشکی تبریز، با ارائه تصاویر آناتومی مبتنی بر متد Image Map، تجربه یادگیری شما را متحول میکند.
این روش که برای نخستین بار در ایران عرضه میشود، به شما اجازه میدهد تا به صورت زنده و تعاملی به کاوش در پیچیدگیهای بدن انسان بپردازید و یادگیری آناتومی را از یک چالش به یک تجربه لذتبخش 😊 تبدیل کنید.
💡 چرا محصول ما انتخاب هوشمندانهای است؟
✅ یادگیری بصری: درک بهتر ساختارها با تصاویر واضح و تعاملی.
✅ صرفهجویی در زمان: دسترسی فوری به اطلاعات و کاهش زمان مورد نیاز برای مطالعه.
✅ دقت علمی: محتوای کاملاً منطبق بر استانداردهای آکادمیک دانشگاه علوم پزشکی تبریز.
✅ کشف جزئیات: امکان بزرگنمایی و بررسی دقیقترین جزئیات در هر تصویر.

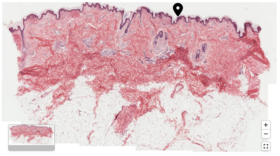
میکروسکوپ مجازی بافت شناسی،
انقلابی در آموزش عملی بافت شناسی و آسیب شناسی
انقلابی در آموزش عملی بافت شناسی و آسیب شناسی
میکروسکوپ واقعی را در دستان خود احساس کنید! 🔬
خداحافظی با لامهای فیزیکی و اطلسهای ثابت! 📖
تیم نوآور ما با ارائه شبیهساز میکروسکوپ مجازی، تجربه کار با لامهای بافتشناسی را متحول میکند.
این پلتفرم که به عنوان اولین آزمایشگاه بافتشناسی آنلاین در ایران ارائه میشود، به شما اجازه میدهد تا به صورت کاملاً پویا و تعاملی به کاوش در دنیای میکروسکوپیک بافتها بپردازید و یادگیری بافتشناسی را از یک چالش به یک تجربه اکتشافی و جذاب 😊 تبدیل کنید.
💡 چرا این شبیهساز انتخاب هوشمندانهای است؟
✅ شبیهسازی واقعگرایانه: تجربه کاربری کاملاً مشابه با میکروسکوپ واقعی، شامل حرکت لام، تغییر بزرگنمایی و تنظیم فوکوس.
✅ دسترسی ۲۴ ساعته: بدون نیاز به آزمایشگاه، در هر زمان و هر مکان به آرشیو کامل لامهای دیجیتال دسترسی داشته باشید.
✅ کیفیت بالای تصاویر: اسکن دیجیتال لامها با بالاترین رزولوشن برای مشاهده واضح تمام جزئیات سلولی و بافتی.
✅ یادگیری عمیق و تعاملی: قابلیت زوم نامحدود و مشاهده لایههای مختلف بافت برای درک بهتر ساختارهای پیچیده.